Pediatric Dental Emergencies
Pediatric dental emergencies can be a daunting experience for both children and parents alike. Whether it’s a knocked-out tooth, a severe toothache, or an unexpected dental injury, knowing how to respond promptly can make all the difference in preventing long-term damage. Understanding the common types of pediatric dental emergencies and having access to the right care when they arise can help alleviate distress and ensure that your child’s oral health remains intact.
For parents needing pediatric dental care, seeking help from our skilled pediatric dentist in Colorado Springs, CO, who specialize in pediatric dentistry is crucial. Knowing what to do, when to seek help, and how to handle such situations confidently will ensure the best outcome for your child’s dental health.
Common Types of Pediatric Dental Emergencies
Children are naturally curious, active, and sometimes reckless, which increases the likelihood of dental injuries. Here are some of the most common pediatric dental emergencies that may require immediate attention from a dentist in Colorado Springs, CO:
Tooth Knocked Out (Avulsed Tooth)
One of the most alarming dental emergencies is when a child knocks out a permanent or baby tooth. If a permanent tooth is knocked out, acting quickly is critical. Gently pick up the tooth by the crown (not the root), rinse it under water, and try to reinsert it into the socket. If this is not possible, immediately place the tooth in a glass of milk or saline solution and visit a pediatric dentist. The faster a tooth is re-implanted, the better the chance of saving it.
Broken or Chipped Teeth
Broken or chipped teeth can occur due to accidents, sports injuries, or biting into something hard. If the tooth is chipped, it’s important to keep any broken fragments and take them to the dentist. Sometimes, the pediatric dentist may repair the damage with bonding or a crown. If the tooth has a sharp edge, it can cause discomfort to the lips or gums, and a pediatric dentist may smooth or cover the area to prevent further irritation.
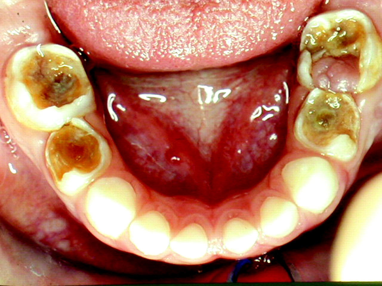
Severe Toothaches
A persistent or intense toothache may indicate an underlying issue, such as tooth decay or infection. If your child is complaining of severe pain, seeking immediate attention from a pediatric dentist is essential. While waiting for your appointment, over-the-counter pain medications and cold compresses can help manage discomfort. Never apply aspirin directly to the tooth or gums, as it could cause tissue damage.
Loose Teeth (in Children Under Six)
Loose teeth in young children generally indicate normal tooth development as baby teeth naturally fall out. However, if a tooth becomes loose due to trauma, it may need to be examined. Sometimes, a pediatric dentist may need to reposition the tooth or place a splint to secure it temporarily.
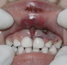
Abscess or Infection
An abscessed tooth occurs when there is a bacterial infection in or around the tooth, often caused by untreated cavities. Signs of a dental abscess include swelling, pain, fever, or a pimple-like bump on the gums near the tooth. This condition requires immediate treatment by a pediatric dentist to prevent the infection from spreading. Antibiotics and a root canal may be necessary to treat the infection and alleviate pain.
Soft Tissue Injuries
Injuries to the gums, lips, tongue, or the inside of the cheeks are common in children, especially during falls or rough play. While most soft tissue injuries can be managed at home with clean water and gauze to stop bleeding, significant lacerations may require stitches or professional evaluation by a dentist to ensure proper healing and prevent infection.
When to Seek Immediate Dental Care
Parents can struggle to determine when an injury or dental issue is severe enough to require emergency care. The following signs indicate that you should seek immediate care for your child:
- Severe pain that is not alleviated by over-the-counter pain relief
- A knocked-out permanent tooth that cannot be re-implanted
- Swelling in the gums, face, or jaw
- Bleeding that does not stop after 10-15 minutes of applying pressure
- Any injury to the face or mouth that results in misalignment or unusual mobility of teeth
For pediatric dental care, it’s essential to act quickly and contact a pediatric dentist who can provide the necessary treatment and care. So, if your child is suffering from any of the above-mentioned conditions, contact us at Kids Rock Dentistry and Orthodontics for the best pediatric dental emergency services.
How to Prevent Pediatric Dental Emergencies
While some dental emergencies are unavoidable, there are steps you can take to minimize the risk of injury or infection:
- Use a Mouthguard: If your child participates in contact sports, a custom mouthguard can protect their teeth from trauma. Speak with a dentist to get a properly fitted mouthguard.
- Proper Oral Hygiene: Encourage your child to brush and floss regularly to prevent cavities and other dental issues that can lead to painful emergencies.
- Avoid Hard Foods: Teach your child not to chew on hard objects such as ice, pens, or candy that could break teeth.
- Regular Dental Check-Ups: Regular visits to a pediatric dentist allow for the early detection of potential dental issues, reducing the likelihood of emergencies.
Conclusion
Pediatric dental emergencies can be unsettling, but knowing how to respond can significantly affect your child’s recovery and long-term oral health. By recognizing the signs of a dental emergency and seeking prompt treatment from a dentist in Colorado Springs, CO, you can ensure your child receives the care they need during a stressful time. Being prepared and staying informed about the types of dental emergencies and how to prevent them can help your child maintain a healthy, happy smile for years to come.
For the best dental care, visit Kids Rock Dentistry and Orthodontics.
LOCATIONS
- MON - FRI8:00 am - 5:00 pm
- SAT - SUNClosed
- MON - THU8:00 am - 5:00 pm
- FRI - SUNClosed
4515 Broadmoor Bluffs Drive, Colorado Springs, CO 80906
Phone: (719) 900-5558
Email: [email protected]
- MON - FRI8:00 am - 5:00 pm
- SAT - SUNClosed

